思语视觉BBS
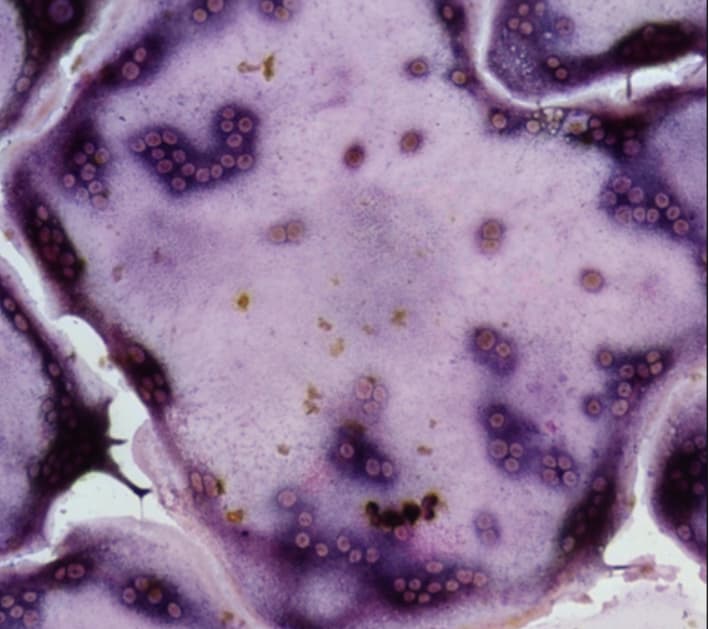
请问像多核细胞TRAP染色所得的图像细胞核(图如下)如何自动计数(试过很多方法都和不准)谢谢大佬
常规
yang
2025 年9 月 26 日 03:17
1
88248129-f4e2-4e93-879f-ec0fe6201cc3
708×629 43.6 KB
Founder
2025 年9 月 27 日 14:21
2
请问你试过哪些方法,能分享一下大概效果吗?